53岁的患者林先生,四年前曾于我院体检时,查彩超提示“双肾多发囊肿(考虑多囊肾)”。当时因身体并无不适症状,林先生便心存侥幸, 觉得“小囊肿不碍事”,便未遵从医嘱定期随访监测。 这份忽视,让隐患在体内悄悄潜藏、发展...
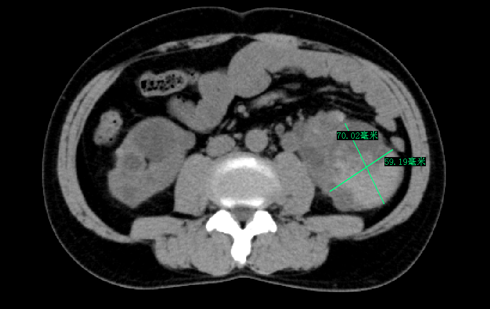
三个月前,林先生 毫无征兆出现了肉眼血尿 ,且持续多日不见好转,这才让他慌了神,急忙再次来到我院就诊。完善双肾 CT平扫提示:双侧多囊肾, 左肾较大囊肿已达7厘米。 经过对症处理病情曾好转,但入院一周前血尿再次复发,自行服药无效后,林先生决定重返医院泌尿肾病科,寻求根治。
鉴于 患者左侧肾囊肿体积较大,且存在出血和机化情况 ,若不及时治疗,不仅可能造成患侧肾脏损伤、压迫周边血管及组织,还可能导致病情进一步恶化。谢庆祥教授团队与患者及其家属充分沟通后,决定采用 创伤小、手术时间短、出血少、恢复快的腹腔镜肾囊肿去顶减压术 。
经过全面细致的术前准备,手术如期顺利开展。 术中, 面对左肾周组织粘连、腹侧面粘连严重等挑战 , 谢庆祥教授带领手术团队凭借精湛技艺细致操作:借助超声刀小心翼翼游离粘连组织,待充分暴露左肾后, 精准定位囊肿并完整切除囊壁 。 手术全程 出血 约 10毫升。
术后, 在医护团队的精心照料下,林先生恢复迅速,不久便康复出院。 “ 感谢 谢庆祥教授和科室的医护人员,不仅帮我解决了多年的病痛, 也 让我 在住院期间 感受到了家人般的温暖。 ” 重获健康 的林先生心怀感激,特意定制了这面意义非凡的锦旗送到科室,用最质朴的方式表达对医护团队的谢意。
一面锦旗,一份认可;
一声感谢,一份信赖。
这面 “福泽绵长,德医双馨”的锦旗,不仅是医患深情的见证,更是莆田福德医院泌尿肾病科医护团队精湛技术与温暖服务的由衷赞誉。未来,医院将继续秉持“以患者为中心”的服务理念,以更精湛的医术、更优质的服务,守护每一位患者的健康福祉。
泌尿肾病科简介
莆田福德医院泌尿肾病科是医院重点建设的专科,由硕士研究生导师、主任医师谢庆祥教授领衔,谢教授曾任三级医院科主任20余年,具有丰富的临床经验和精湛的专业技术。
泌尿肾病科诊疗范围包括泌尿系结石、前列腺疾病、泌尿生殖系肿瘤、各种小儿泌尿生殖疾病、其他泌尿系统疾病以及各种肾病、肾移植(器官移植)术后随访、血透等。
立足建设国内先进、地区一流的特色专科,医院积极引进人才和先进器械设备,并紧跟国内外技术发展前沿,能够开展当前具有先进水平的泌尿外科各种腹腔镜手术、输尿管硬(软)镜激光碎石、经皮肾镜激光碎石、经尿道前列腺等离子切除术、经尿道膀胱肿瘤切除术、膀胱癌根治性切除+原位肠道新膀胱术、复杂性肾肿瘤切除术、巨大肾上腺肿瘤切除术、前列腺癌根治术、肾盂(输尿管)肿瘤根治术、肾蒂淋巴管结扎、复杂性输尿管狭窄成形术、尿道手术及各种小儿泌尿生殖手术等。
莆田福德医院泌尿肾病科在器官移植术后抗排斥诊治等方面也积累了丰富经验。
供稿|泌尿肾病科

扫一扫关注微信